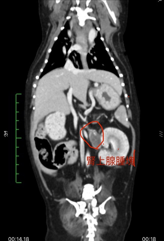
妍兒 2025-09-29 她剛開完拆膽䉴手術 跟拆脾藏 過了五天出院⋯ 愛犬睡到凌晨三點走了 請問是腎上腺腫瘤破裂造成休克嗎? 他的醫生是這樣說!還說腫瘤不能開刀她13歲了 、還有腫瘤位置也不能開刀旁邊有大血管! 真的好難過 懇請有醫生知道能跟我說ㄧ下 腎上腺腫瘤破裂真的會造成死亡嗎? 姚勝隆 院長 2025-10-07 治療中或術後的動物,建議與主治獸醫師多討論,只有主治獸醫師最清楚寵物的病況。 1 分享–– 我也要提問
相關問答 私密處紅紅的 請問醫生,近期注意到母狗的私密處像圖片這樣開開紅紅的正常嗎? 有次發現私密處那邊有一些毛揪在一起硬硬的,請問這和她平常愛騎娃娃或舔私密處造成的嗎? 小E 其他 吞嚥問題? 狗狗休息時會出現恩、恩的聲音,從喉嚨發出的,伴隨舔,不像乾嘔也不是打嗝。目前有氣管塌陷問題及吃支氣管擴張劑心臟用藥。食慾排便精神都可以。 想請問怎麼了? 阿麥 其他 出籠子被成犬衝咬傷 被成犬衝咬疼痛尖叫隔開兩隻狗 2個月幼犬持續出血使用紗布止血後 3/28有去動物醫院看診 醫生有開口服藥以及噴劑 目前傷口有慢慢結痂 有擦一點網路上買的藥膏 還是不太放心 周遭稍微有點小腫不確定是否凝血 請問這樣傷口恢復的情況是需要回診嗎 Quiana 其他 肉墊破皮了 最近有在領養一隻米克斯弟弟 毛球原本肉墊正常 但可能跟弟弟玩跑來跑去 肉墊破皮 隔一天看又在多破一層 最近都沒有休假無法帶去看醫生 請問這樣會有影響什麼嗎? 滿擔心的 謝謝醫生 Nina 其他 5個月幼貓進食後鼻樑特定區塊變黑,乾燥後消失 我家 momo(4.5個月大英短)最近出現一個奇怪現象:每次吃完飯或喝完水,鼻樑上方特定區域就會變得很深色、黑黑的。 詳細觀察如下: 動態變化: 只有在進食/喝水(可能沾到濕氣)後出現,過一陣子毛髮乾了就會恢復正常的淺灰色。 深度感: 撥開毛髮觀察,感覺深色是在毛髮深處(皮膚層),不像表面附著的髒污。 已排除情況: 已用伍德氏燈照過排除黴菌。該處無脫毛、無紅腫結痂,貓咪也不會抓撓。 測試紀錄: 曾嘗試用乾洗液擦拭,但擦不出明顯髒污,且貓咪對氣味敏感。 請問這可能是單純的「濕毛髮透視皮膚色」現象,還是油脂堆積、或是換毛期毛髮稀疏導致的? Jackson 其他 貓上呼吸道感染有發燒 鼻塞 2/27 前個禮拜感覺食量有下降,直到227覺得很不對看醫生,發燒39.7度 3/1 血檢+x光,退燒但一直嗜睡(晚上5點到隔天早上8點) 3/6 看醫生,這其中退燒,但開始晃頭、呼吸異音、打噴嚏、吃東西流眼淚 3/10 換醫師,狀況有改善 3/13 持續用藥,晃頭異音噴嚏都有改善 3/18 停藥後又復發 3/21 再拿藥 但到現在3/24 沒改善 目前狀況: 狀態 食量超低(原先5-7份現在只吃1份,活動力很差一直睡覺) 晃頭-一直用手用鼻子-打噴嚏-只有鼻水-呼吸聲大-不太喝水-不吃乾糧-很少自己洗澡 兩天沒大便了,乾嘔但沒吐 她毛的狀況分辨 請問還能再做進一步檢查嗎... Amber Mio 食慾/精神不振 清晨固定咳嗽 貓固定會在早上咳嗽持續一分鐘左右,只有一次吐出白色泡泡。看醫生後有開藥,但狀況一樣,請問可以從哪個方面去觀察或是需要換醫院檢查嗎 黃奕豪 咳嗽 如何預防皰疹病毒復發? 最近因為幼貓頻繁打噴涕(有黃色的膿鼻涕)的關係,驗了PCR,PCR裡的皰疹病毒呈現陽性,醫生開了doxycycline-10mg減緩症狀。但醫生說,一旦呈現陽性,就終身會帶著皰疹病毒,請問平常要如何預防呢?還是有建議的保健食品可以預防皰疹病毒復發? Chuang Kitty 其他 貓咪幾個月大才能開始刷牙呢? 貓咪目前六個月大,目前全口已換完牙,但怕牙齒還沒長穩,幼貓時期,用軟毛牙刷幫牠刷牙,會不會造成牙齒移位/內傾或是長歪掉? 還是要等到成貓以後再刷? Chuang Kitty 其他 貓的碗裡有像是血點的東西 吃完罐頭後,碗裡偶爾有這樣的紅點,但不管是吃飼料或罐頭,進食正常且快速,外觀並無異樣,請問可能是牙齦出血嗎? (是剛收編的浪貓,左耳有剪耳近幾日剛結痂的傷口) 九十一 其他
出籠子被成犬衝咬傷 被成犬衝咬疼痛尖叫隔開兩隻狗 2個月幼犬持續出血使用紗布止血後 3/28有去動物醫院看診 醫生有開口服藥以及噴劑 目前傷口有慢慢結痂 有擦一點網路上買的藥膏 還是不太放心 周遭稍微有點小腫不確定是否凝血 請問這樣傷口恢復的情況是需要回診嗎 Quiana 其他
肉墊破皮了 最近有在領養一隻米克斯弟弟 毛球原本肉墊正常 但可能跟弟弟玩跑來跑去 肉墊破皮 隔一天看又在多破一層 最近都沒有休假無法帶去看醫生 請問這樣會有影響什麼嗎? 滿擔心的 謝謝醫生 Nina 其他
5個月幼貓進食後鼻樑特定區塊變黑,乾燥後消失 我家 momo(4.5個月大英短)最近出現一個奇怪現象:每次吃完飯或喝完水,鼻樑上方特定區域就會變得很深色、黑黑的。 詳細觀察如下: 動態變化: 只有在進食/喝水(可能沾到濕氣)後出現,過一陣子毛髮乾了就會恢復正常的淺灰色。 深度感: 撥開毛髮觀察,感覺深色是在毛髮深處(皮膚層),不像表面附著的髒污。 已排除情況: 已用伍德氏燈照過排除黴菌。該處無脫毛、無紅腫結痂,貓咪也不會抓撓。 測試紀錄: 曾嘗試用乾洗液擦拭,但擦不出明顯髒污,且貓咪對氣味敏感。 請問這可能是單純的「濕毛髮透視皮膚色」現象,還是油脂堆積、或是換毛期毛髮稀疏導致的? Jackson 其他
貓上呼吸道感染有發燒 鼻塞 2/27 前個禮拜感覺食量有下降,直到227覺得很不對看醫生,發燒39.7度 3/1 血檢+x光,退燒但一直嗜睡(晚上5點到隔天早上8點) 3/6 看醫生,這其中退燒,但開始晃頭、呼吸異音、打噴嚏、吃東西流眼淚 3/10 換醫師,狀況有改善 3/13 持續用藥,晃頭異音噴嚏都有改善 3/18 停藥後又復發 3/21 再拿藥 但到現在3/24 沒改善 目前狀況: 狀態 食量超低(原先5-7份現在只吃1份,活動力很差一直睡覺) 晃頭-一直用手用鼻子-打噴嚏-只有鼻水-呼吸聲大-不太喝水-不吃乾糧-很少自己洗澡 兩天沒大便了,乾嘔但沒吐 她毛的狀況分辨 請問還能再做進一步檢查嗎... Amber Mio 食慾/精神不振
如何預防皰疹病毒復發? 最近因為幼貓頻繁打噴涕(有黃色的膿鼻涕)的關係,驗了PCR,PCR裡的皰疹病毒呈現陽性,醫生開了doxycycline-10mg減緩症狀。但醫生說,一旦呈現陽性,就終身會帶著皰疹病毒,請問平常要如何預防呢?還是有建議的保健食品可以預防皰疹病毒復發? Chuang Kitty 其他
貓咪幾個月大才能開始刷牙呢? 貓咪目前六個月大,目前全口已換完牙,但怕牙齒還沒長穩,幼貓時期,用軟毛牙刷幫牠刷牙,會不會造成牙齒移位/內傾或是長歪掉? 還是要等到成貓以後再刷? Chuang Kitty 其他
相關文章 主食與副食的分工合作,打造狗狗的健康飲食日常|專業獸醫—蔡定宏 蔡定宏主治獸醫師. 2026-04-10 .瀏覽 2393 保健品不是萬靈丹,但對這些犬貓來說卻很重要!如何判斷你家寵物是否需要額外補充?|專業獸醫—蔡定宏 蔡定宏主治獸醫師. 2026-04-09 .瀏覽 3168 認識不同肉類的營養密碼,幫貓咪選對一口好肉|專業獸醫—蔡定宏 蔡定宏主治獸醫師. 2026-04-09 .瀏覽 3220 【寵物聽我說】EP282|幫毛孩打造健康皮膚的秘密:燕麥也是「皮膚」的超級食物|專業獸醫—黃偉珍 黃偉珍院長. 2026-04-08 .瀏覽 2195 【寵物聽我說】EP281|你的倉鼠吃對了嗎?99%倉鼠飼主不知道的飲食真相|專業獸醫—侯彣 侯彣主治獸醫師. 2026-04-07 .瀏覽 2202 【寵物聽我說】EP280|貓傳染性腹膜炎是什麼?感染原因、治療與最新醫療發展|專業獸醫—吳乃聖 吳乃聖院長. 2026-03-25 .瀏覽 2317
相關文章 主食與副食的分工合作,打造狗狗的健康飲食日常|專業獸醫—蔡定宏 蔡定宏主治獸醫師. 2026-04-10 .瀏覽 2393 保健品不是萬靈丹,但對這些犬貓來說卻很重要!如何判斷你家寵物是否需要額外補充?|專業獸醫—蔡定宏 蔡定宏主治獸醫師. 2026-04-09 .瀏覽 3168 認識不同肉類的營養密碼,幫貓咪選對一口好肉|專業獸醫—蔡定宏 蔡定宏主治獸醫師. 2026-04-09 .瀏覽 3220 【寵物聽我說】EP282|幫毛孩打造健康皮膚的秘密:燕麥也是「皮膚」的超級食物|專業獸醫—黃偉珍 黃偉珍院長. 2026-04-08 .瀏覽 2195 【寵物聽我說】EP281|你的倉鼠吃對了嗎?99%倉鼠飼主不知道的飲食真相|專業獸醫—侯彣 侯彣主治獸醫師. 2026-04-07 .瀏覽 2202 【寵物聽我說】EP280|貓傳染性腹膜炎是什麼?感染原因、治療與最新醫療發展|專業獸醫—吳乃聖 吳乃聖院長. 2026-03-25 .瀏覽 2317